ピックアップ
診療メニュー
-
インプラント
皆様に、安心・安全な歯科インプラント治療を受けていただきたく、技術の向上に努め、歯科設備を整え、衛生管理を徹底しています。
-
矯正歯科
目立ちにくいマウスピースを使用した矯正治療も行っております。歯並びが気になっておられる方は一度ご相談ください。
-
痛みの少ない治療・麻酔
当院では痛みの少ない治療と麻酔を行っております。歯科治療における不安を軽減できるよう取り組んでいますので、安心して受診してください。
-
虫歯治療
虫歯は進行段階により治療が異なります。早期に発見することも重要ですが、虫歯にならないように予防していただくことも重要です。
-
歯周病治療
成人の8割以上が歯周病に罹患しています。ご自身の歯を保つためには、定期的な歯周病治療を受けていただくことが大切です。
-
入れ歯
通常の入れ歯治療はもちろん、より適合性の高い超精密義歯を作製することもできます。しっかり噛めて、快適に過ごしていただける入れ歯治療を行います。
-
歯を白くする治療
銀色の詰め物や被せ物を白くする治療はもちろん、ホワイトニングも行っております。笑顔にもっと自信を持っていただけるようお手伝いします。
-
歯のクリーニング
普段の歯磨きでは落とすことができない歯石や着色などの汚れを落とすことができます。爽快感があり、虫歯や歯周病予防にも繋がります。
しんデンタルのブログ
-
2026/04/28
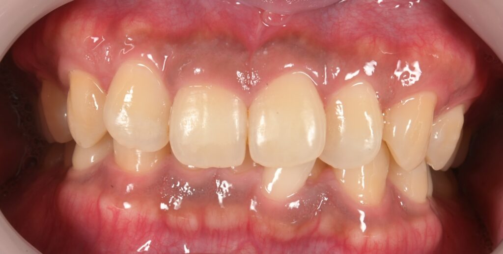
【27歳女性】7ヶ月で前歯の歯並びが改善✨マウスピース矯正(iGO)で手に入れた理想の笑顔
こんにちは!しんデンタルクリニックです🍀 心地よい春風が吹く季節になりましたが、皆様いかがお過ごしでしょうか。今回は「前歯の歯並びが気…more
-
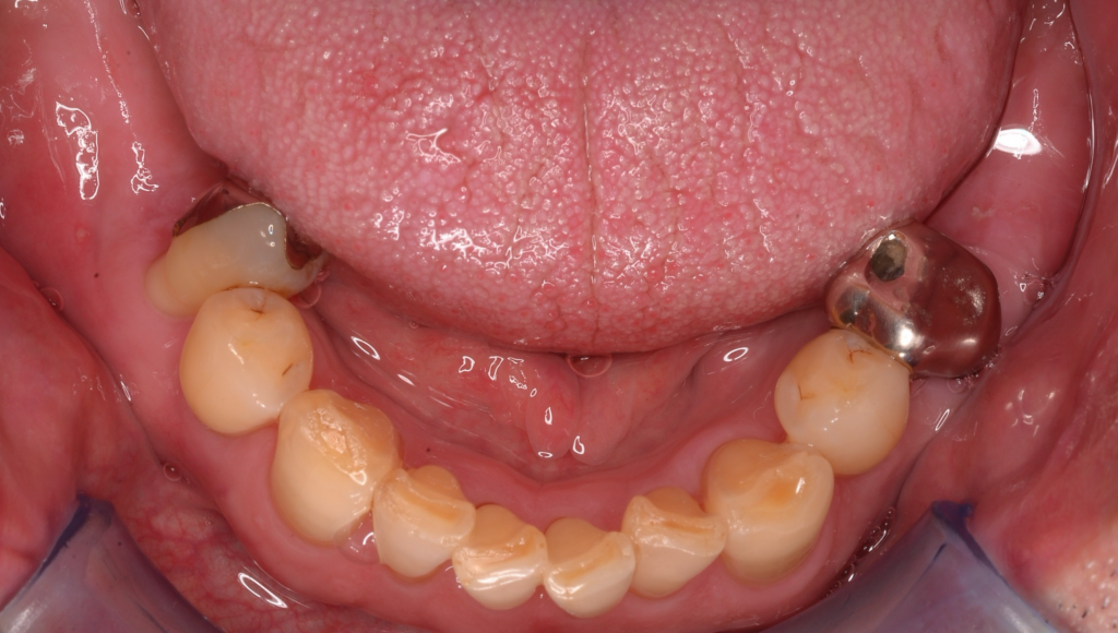
2026/03/04
こんにちは✨しんデンタルクリニックです🌸 今回は、歯を失って奥歯で噛めないというお悩みをお持ちだった患者様のご紹介です&…more
-
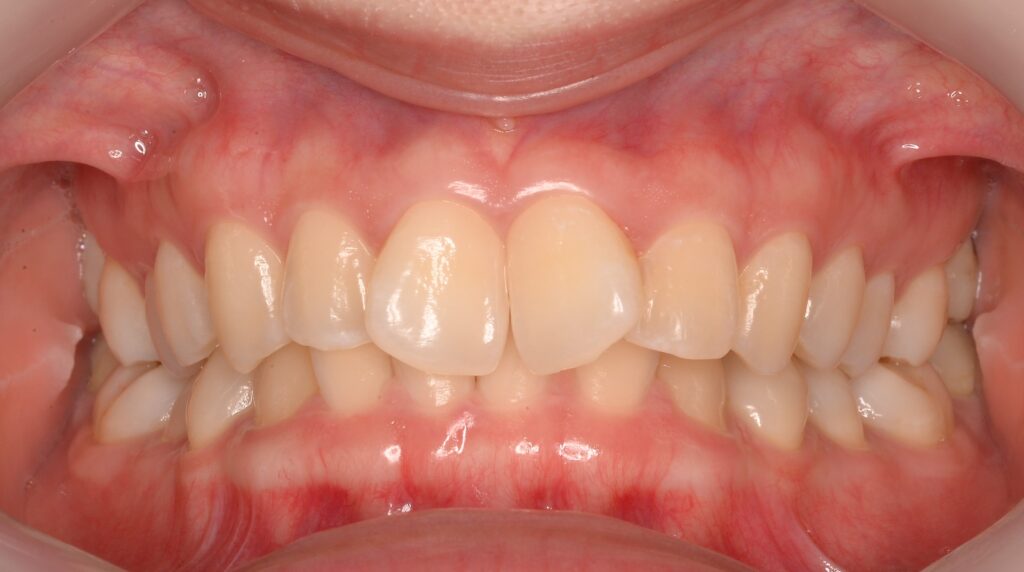
2026/02/10
こんにちは!しんデンタルクリニックです🎵 本日は以前から歯並びが気になっていた方のマウスピース矯正の患者様を紹介させて頂きます…more
院長挨拶

院長
新谷 恭弘(しんがい やすひろ)
はじめまして、しんデンタルクリニック院長の新谷恭弘と申します。
当院は、予防歯科と歯科インプラント治療に力を入れ診療している歯科医院です。
いわき市にあるクリニックですが、都心と比べても遜色ないレベルの治療を提供できるよう、スタッフ一同治療技術の向上に努め診療しております。
また、治療技術だけでなく、居心地の良い歯科医院づくりにも取り組んでいます。
例えば、歯医者さんに行くとなると誰もが「痛い・怖い」とイメージするでしょう。
そんなイメージを持っているとどうしても歯医者さんに行くのが億劫になり、予防や治療を受けることができずに歯を失ってしまうことも・・・。
そのような理由で歯を失ってしまう方を一人でも減らし、安心してお越しいただける歯科医院になりたいと考えています。
そのために、一つひとつの施術を患者様の目線や立場に立って行うことを大切にしています。「自分ならこうして欲しい」と思うような歯科医療を提供し、患者様お一人おひとりと向き合いサポートしていきます。
「しんデンタルで治療を受けて良かった、また来たい。」と思っていただけるような歯科医院を目指し、スタッフ一同診療に取り組んでおりますので、歯に関して気になることや、お困りのことがあれば一度ご相談ください。
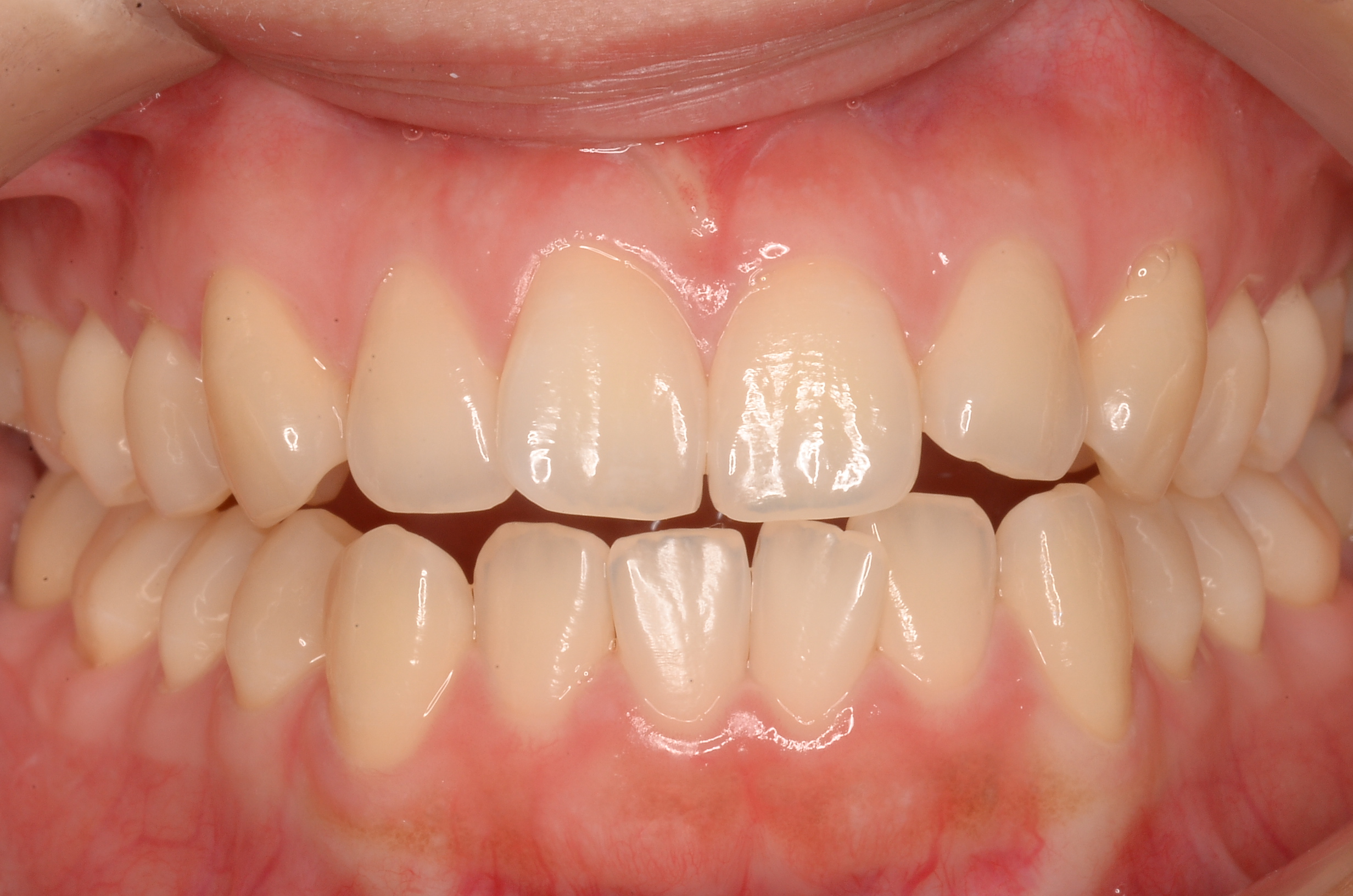
スライドギャラリー
しんデンタル通信
- 2026.04.27
- ■5月の休診日
5月4日(月)5日(火)6日(水)は休診とさせていただきます。 - 2025.11.20
- ■年末年始の休診について
12月28日(日)~1月4日(日)まで休診させていただきます。
1月5日(月)から診療とさせていただきます。 - 2025.11.20
- ■12月の休診日・診療日
12月13日(土)診療時間 8:30~14:30
12月20日(土)診療時間 8:30~14:30
12月27日(土)午後は休診させていただきます。 - 2025.11.04
- ■11月の休診日
11月21日(金)の午前を休診とさせていただきます。 - 2025.09.26
- ■10月の休診日
10月17日(金)の午後を休診とさせていただきます。 - 2025.07.25
- ■9月の休診日
9月19日(金)の午後を休診とさせていただきます。 - 2025.07.25
- ■8月の休診・診療日
8月12日(火)~15日(金)まで休診とさせていただきます。
8月18日(月)を診療とさせていただきます。 - 2025.06.27
- ■7月の休診日
7月18日(金)の午後を休診とさせていただきます。 - 2025.01.22
- ■2月の休診日
2月21日(金)の午前を休診とさせていただきます。 - 2021.6.8
- ■インターネット上での迷惑行為・名誉毀損への当院の対応について
当院、または当院に関係する個人への悪意をもった掲示板等への書き込みや社会的評価を低下させる誹謗中傷等をインターネット上に公開する行為が確認できました場合、各種関連法案により匿名での発信者の特定が可能なため、損害賠償請求や刑事告発を行うことがございます。あらかじめご了承ください。
医療法人しんデンタルクリニック〒970-8047
福島県いわき市中央台高久2丁目11-5
| 診療時間 | 月 | 火 | 水 | 木 | 金 | 土 | 日 |
|---|---|---|---|---|---|---|---|
| 9:00~12:30 | |||||||
| 14:30~17:30 |
休診日/月曜日・日曜日/祝日
※土曜日は16:30までの診療となります。







































