-
2025.12.13
こんにちは😃しんデンタルクリニックです✨ 今回は前歯だけ気歯並びが気になる…そんな患者さんのご紹介をさせて頂きます&#x…more
-
2025.11.27
皆さんこんにちは🎵しんデンタルクリニックです☺️ 今回は歯ぐきの色味が気になる方のガムピーリング治療を受け…more
-
2025.11.05
こんにちは❗️しんデンタルクリニックです✨ 今回は、歯を抜いた後にインプラント治療を行なった患者さんの紹介を…more
-
2025.10.24
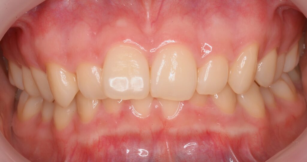
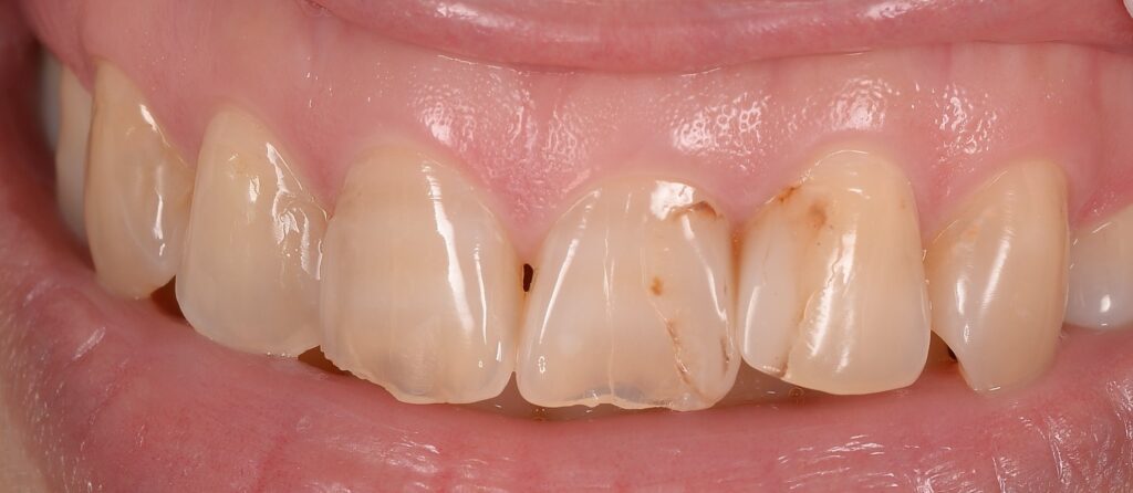
こんにちは🍁しんデンタルクリニックです🍀 今回は「前歯の着色が気になる」とのご相談で、コンポジットレジン充填をされた患…more
-
2025.10.07
こんにちは しんデンタルクリニックです🦷 今回は前歯の隙間が気になるでマウスピース矯正をされた方のご紹介です🍀 22歳…more
-
40歳を過ぎた患者さまへ
- 歯を失う最大の原因
- 噛み合わせ不良で起こる
負の連鎖 - 歯と健康の関係性
- 定期的な検診はあなたを守る














