2025.09.11
自然で美しい笑顔に✨
こんにちは!暑い日が続きますが、皆様体調はいかがでしょうか?
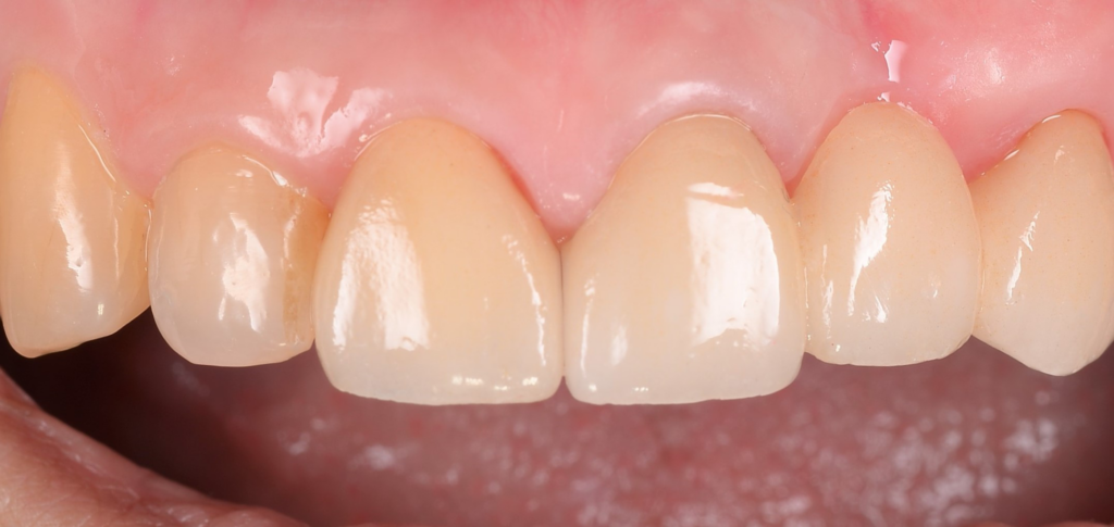
本日は当院でセラミック治療をされた患者様のご紹介です🍀
主訴:前歯を直して欲しい
治療方法:セラミック修復(e-max)
治療回数:3回
治療期間:2ヶ月
治療費用:¥93,500×4本分(税込)
リスク・副作用:セラミックは強度があるものの、硬いものを噛んだ際に欠けたり、剥がれたりする可能性がある
《Before》

《After》

まるでご自身の歯のような、とても自然な仕上がりになりました👏笑顔が輝きますね✨😄
当院の技工士は、歯の微妙な色味まで繊細に表現致します✨
セラミックは見た目の美しさだけでなく、清潔を保ちやすい素材です。金属を使わないため金属アレルギーが心配な方にもおすすめです🍀
気になる方は、お気軽にスタッフまでご相談ください!!✨
カテゴリ |未分類
-
40歳を過ぎた患者さまへ
- 歯を失う最大の原因
- 噛み合わせ不良で起こる
負の連鎖 - 歯と健康の関係性
- 定期的な検診はあなたを守る









