2025.10.07
たった数ヶ月で、もっと自信のある前歯に✨
こんにちは しんデンタルクリニックです🦷
今回は前歯の隙間が気になるでマウスピース矯正をされた方のご紹介です🍀
22歳女性
主訴:前歯のすき間が気になる
治療方法:マウスピース矯正(IGO)
治療費用:¥498,000+税
※別途検査代、再診料あり
治療期間:5ヶ月
リスク・副作用:マウスピースの装着時間が少ないと治療期間が長引く可能性あり。
また、適切な保定をしないと治療後に後戻りすることもある。
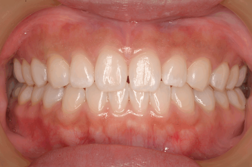
《Before》

《After》

たった5ヶ月で綺麗な歯並びになりました👀✨
前歯の真ん中に隙間があるのがずっと気になっていた患者さん
矯正後は笑う事が増えた、自信を持って話せるようになったと嬉しいお声を頂きました☺️
マウスピース矯正は目立ちにくく、仕事や学校など日常生活でも周囲に気づかれにくい矯正です。
気になる事がありましたら、私達スタッフまで気軽にお声がけください❗️✨
カテゴリ |未分類
-
40歳を過ぎた患者さまへ
- 歯を失う最大の原因
- 噛み合わせ不良で起こる
負の連鎖 - 歯と健康の関係性
- 定期的な検診はあなたを守る









