2025.10.24
「前歯の着色が気になる…」その日のうちにキレイにできます✨
こんにちは🍁しんデンタルクリニックです🍀
今回は「前歯の着色が気になる」とのご相談で、コンポジットレジン充填をされた患者様のご紹介です✨
35歳女性
主訴:詰め物の色が気になる
治療方法:コンポジットレジン充填
治療費用:¥11,000(税込)×2
治療期間:1日
治療回数:1回
リスク・副作用:神経のある歯を治療しているため、麻酔が切れてからしみる症状が出る可能性があります
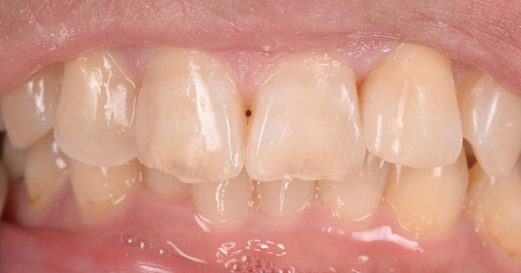
《Before》

《after》

どこに詰め物をしたか分からないくらい自然な色味になりました✨
コンポジットレジンは、歯科用の白いプラスチック(レジン)を、虫歯を削った部分に直接詰め、専用の光で硬化させる治療です🦷
歯を削る量を必要最小限に抑えられるので、健康な歯をできるだけ守りながら治療できます。
一度治療した所だからこれ以上は治療するのは難しいと思われる方でも、一度ご相談下さい☺️
カテゴリ |未分類
-
40歳を過ぎた患者さまへ
- 歯を失う最大の原因
- 噛み合わせ不良で起こる
負の連鎖 - 歯と健康の関係性
- 定期的な検診はあなたを守る









