2025.11.27
ガムピーリングで笑顔の印象アップ!!✨
皆さんこんにちは🎵しんデンタルクリニックです☺️
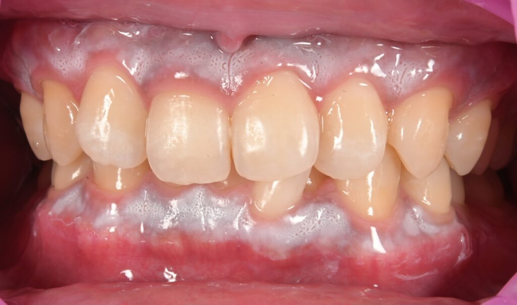
今回は歯ぐきの色味が気になる方のガムピーリング治療を受けられた患者様をご紹介します🍀
35歳男性
主訴:歯ぐきの色が気になる
治療方法:ガムピーリング
治療費用:¥11、000(税込)
治療期間:3週間
治療回数:2回
リスク・副作用:一度ピンクに戻した歯茎でも、長期間にわたり色素沈着が再発することがあります。特に喫煙やコーヒーなどの色素を含む飲食物が影響します。
《Before》


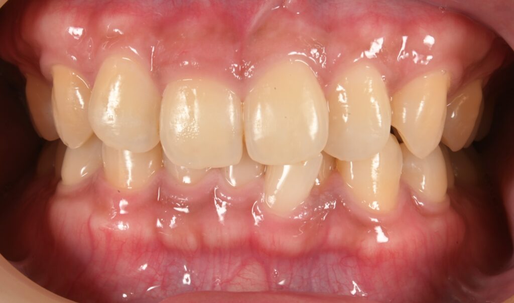
《After》

歯肉をキレイにするガムピーリングで素敵なお口元になりました✨
ガムピーリングは、薬剤を用いて歯肉のメラニン色素を優しく除去し、自然で健康的なピンク色の歯肉に近づけます🌱
マスクを外しても思いっきり笑うことができる口元になっていただくことができ、オススメです😄
気になる方は、お気軽にスタッフまでお声がけください!!✨
カテゴリ |未分類
-
40歳を過ぎた患者さまへ
- 歯を失う最大の原因
- 噛み合わせ不良で起こる
負の連鎖 - 歯と健康の関係性
- 定期的な検診はあなたを守る









