2025.12.13
気になる歯並びを部分矯正✨
こんにちは😃しんデンタルクリニックです✨
今回は前歯だけ歯並びが気になる…そんな患者さんのご紹介をさせて頂きます🍀
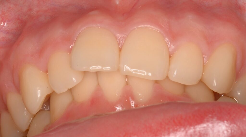
19歳女性
主訴 前歯の歯並びが気になる
治療方法:部分ワイヤー矯正(MTM)
治療費用:矯正代 220,000(税込)
その他に検査代、再診料がかかります。
治療期間:6ヶ月
リスク・副作用:適切な保定をしないと治療後に後戻りする可能性があります。
《Before》



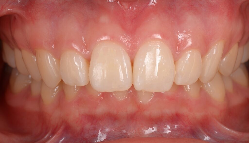
《After》

6ヶ月で素敵な歯並びになりました✨
少しの隙間、重なりでもキレイに並ぶとお顔の印象がガラッと変わります🦷✨
部分矯正は必要な歯だけに力を加えるため、治療期間が比較的短く負担が少なく整える事ができます。
全体矯正までは考えてないけど、前歯だけでも整えたい…という方
ぜひスタッフまでご相談下さい☺️
カテゴリ |未分類
-
40歳を過ぎた患者さまへ
- 歯を失う最大の原因
- 噛み合わせ不良で起こる
負の連鎖 - 歯と健康の関係性
- 定期的な検診はあなたを守る









