2026.02.10
歯科矯正のイメージ変わります❗️マウスピース矯正
こんにちは!しんデンタルクリニックです🎵
本日は以前から歯並びが気になっていた方のマウスピース矯正の患者様を紹介させて頂きます🍀
26歳・女性
主訴:歯並びが気になる
治療方法:マウスピース矯正(IGO)
治療費用:¥498,000+税 ※別途検査代、再診料あり
治療期間:11ヶ月
リスク・副作用:マウスピースの装着時間が少ないと治療期間が長引く可能性あり。
また、適切な保定をしないと治療後に後戻りすることもある。
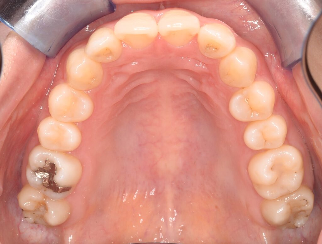
《Before》


《After》


とてもキレイな歯並びになりました😄✨
目立ちにくいマウスピース矯正だったため、日常生活も気にならないとの事でした✨
マスクを外す機会も増えた今目立ちにくい矯正も魅力的です👀
気になる方お気軽にスタッフまでご相談下さい⛄️
カテゴリ |未分類
-
40歳を過ぎた患者さまへ
- 歯を失う最大の原因
- 噛み合わせ不良で起こる
負の連鎖 - 歯と健康の関係性
- 定期的な検診はあなたを守る









