2026.03.04
奥歯で噛めるようになった!〜インプラント治療〜
こんにちは✨しんデンタルクリニックです🌸
今回は、歯を失って奥歯で噛めないというお悩みをお持ちだった患者様のご紹介です🌱
主訴:奥歯で噛めない
治療方法:インプラント埋入術
治療費用:¥1,721,000(インプラント代) ※別途総合診断・施術料あり
治療期間:6ヶ月
治療回数:6回
リスク・副作用:定期的なメンテナンスが必要
口腔衛生状態が悪くなると、インプラント周囲炎にかかる可能性あり
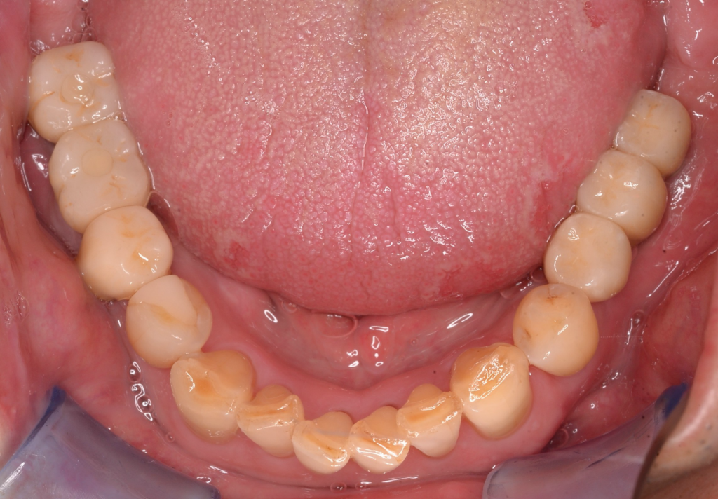
《Before》


《After》


失われた奥歯が入り、“しっかり噛めて、食事が楽しみになった!“と喜んでくださいました😄✨
奥歯はお口全体の噛み合わせを支える大切な歯です。
両側で安定して噛める事で、お食事がより快適になり、日常生活の質も向上します。
インプラントは天然歯に近い感覚で噛める事が大きなメリットです🦷🎶
当院ではインプラントの無料相談も実施しております。気になる事がある方はお気軽にご連絡下さい✨
インプラント専用サイト
https://www.shin-implantcenter.com
カテゴリ |未分類
-
40歳を過ぎた患者さまへ
- 歯を失う最大の原因
- 噛み合わせ不良で起こる
負の連鎖 - 歯と健康の関係性
- 定期的な検診はあなたを守る









