2026.04.28
【27歳女性】7ヶ月で前歯の歯並びが改善✨マウスピース矯正(iGO)で手に入れた理想の笑顔
こんにちは!しんデンタルクリニックです🍀 心地よい春風が吹く季節になりましたが、皆様いかがお過ごしでしょうか。
今回は「前歯の歯並びが気になる」というお悩みで来院された、27歳女性の患者様の矯正事例をご紹介いたします。 お仕事やプライベートで忙しい社会人世代の方にとって、目立たずに短期間で歯並びを整えられるマウスピース矯正は非常に人気の高い治療法です。
症例データ
今回の治療に関する基本情報は以下の通りです。
• 年齢・性別:27歳女性
• 主訴:前歯の歯並びが気になる
• 治療方法:マウスピース矯正(iGO)
• 治療費用:
o 矯正代:¥498,000+税(税込 ¥547,800)
o 検査代:¥55,000(税込)
o ※別途、再診料がかかります。
• 治療期間:7ヶ月
• リスク・副作用:
o マウスピースの装着時間が不足すると、治療期間が長引く可能性があります。
o 治療終了後、適切な保定(リテーナーの装着)を行わないと、歯並びが後戻りする可能性があります。
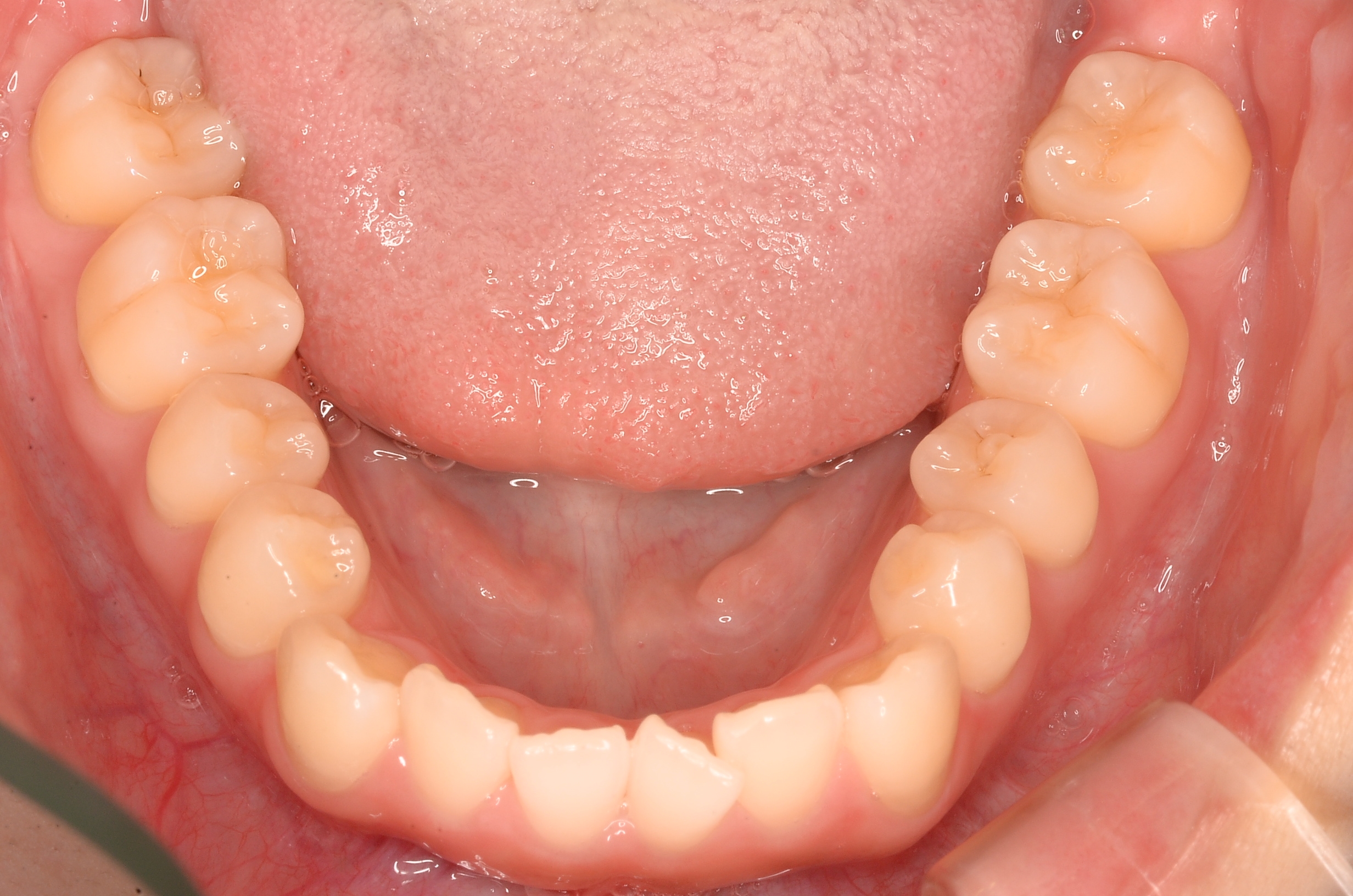
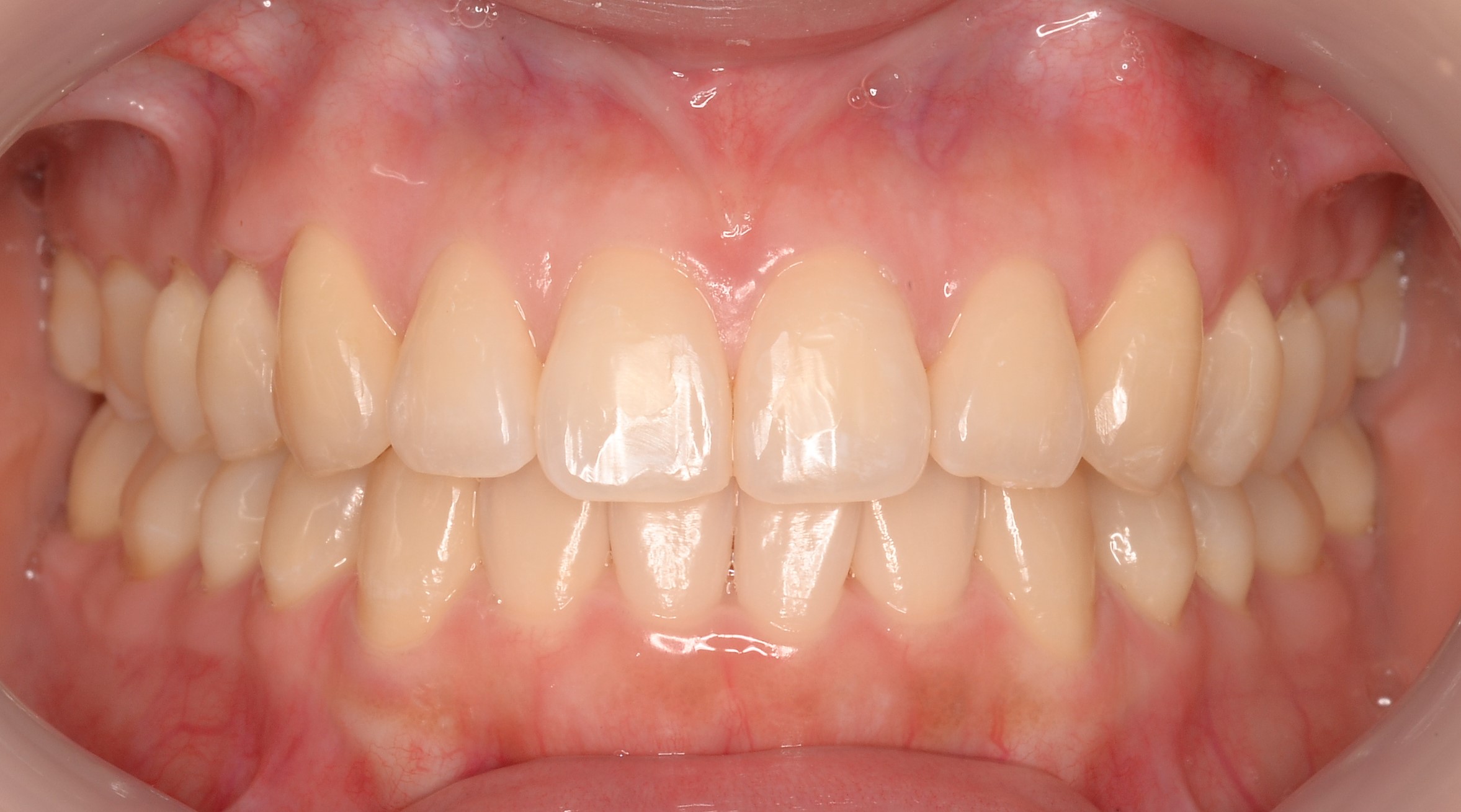
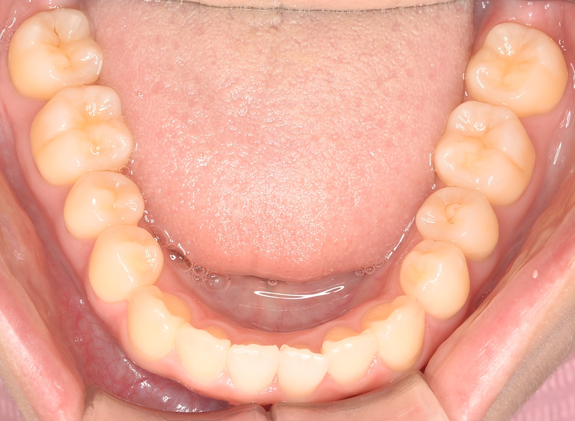
ビフォーアフター
《Before》



《After》



たった7ヶ月という短期間で前歯のガタつきが解消され、とても綺麗な歯並びになりました✨
マウスピース矯正(iGO)の特徴
今回採用した「iGO(アイゴー)」は、前歯の矯正に特化したマウスピース矯正システムです。 少しの隙間や重なりであっても、歯並びがキレイに整うとお顔の印象がガラッと変わります🦷✨ 特に、社会人として活躍されている27歳という年齢層の方にとって、iGOには多くのメリットがあります。
• 周囲に気づかれにくい:透明なマウスピースを使用するため、装着していても非常に目立ちにくいのが特徴です。お仕事や日常生活に支障なく治療を継続いただけます。
• 取り外しが可能:食事や歯磨きの際には取り外すことができるため、お口の中を清潔に保ちやすく、ストレスの少ない矯正生活が送れます。
• 前歯に特化した効率的な治療:気になる前歯の部分を重点的に動かすため、全体矯正に比べて短い期間で効果を実感しやすい治療法です。
笑顔に自信を
治療を終えた患者様からは、心温まるポジティブなお声をいただきました😊
「鏡を見るのが毎日楽しくなりました!」 「友人の結婚式に、自信を持って思いっきり笑顔で参加できました✨」
歯並びが整うと、見た目の印象が良くなるだけでなく、ご自身の気持ちまで前向きになれるのが矯正治療の大きな魅力です。
「前歯だけでも整えたい」「できるだけ目立たない方法で矯正したい」とお考えの方は、ぜひ当院の無料相談をご利用ください。一人ひとりの状態に合わせた最適な治療法をご提案いたします。
お問い合わせ・リンク
矯正治療に関する詳細や、他の症例についてはこちらの専門サイトをご覧ください。
▼矯正専門サイト https://shin-kyousei.com/
お気軽にスタッフまでお声がけください😊
カテゴリ |未分類
-
40歳を過ぎた患者さまへ
- 歯を失う最大の原因
- 噛み合わせ不良で起こる
負の連鎖 - 歯と健康の関係性
- 定期的な検診はあなたを守る









